By Tony Wright LLM, DM, FRCS. Emeritus Professor of Otolaryngology, The Ear Institute, UCL.
The Cerebello Pontine Angle
The cerebello pontine angle (CPA) is a tapered space between the skull and the brainstem and cerebellum, and is part of the posterior cranial fossa. It is an anatomist’s dream because the boundaries of the space and the structures that run through it are many and varied and the symptoms that can arise from disease or damage to these structures are protean and can be severely disabling or in extreme be fatal. The side wall of the space is the medial aspect of the petrous temporal bone housing the labyrinth. The roof is the tentorium, the tough membrane that separates the posterior cranial fossa from the middle cranial fossa. The medial wall of the space is bounded by brainstem (or pons) and the lateral lobe of the cerebellum. The CPA is filled with cerebro spinal fluid (CSF) and has important sensory and motor nerves crossing it on their way to and from the brain. See Box 1 and Figure I. A major branch of the basilar artery is the anterior inferior cerebellar artery (AICA) which courses through the CPA and itself has important branches to the pons and to the labyrinth. It ends up supplying the cerebellum in part.
Running along the length of the brainstem between it and the cerebellum is the CSF filled IVth ventricle. This has to be open to allow the circulation of the CSF and obstruction results in raised intracranial pressure and eventually an obstructive hydrocephalus.
Box 1: Simple description of the nerves of the CPA and their major functions
| Cranial Nerve | Name | Motor supply | Sensory supply | Special Features |
| IV | Trochlear | Superior Oblique moves eye down and medially | Failure causes double vision on looking down and inwards | |
| VI | Abducent | Lateral Rectus moves eye to side | Failure causes double vision on side gaze | |
| V | Trigeminal | Chewing | Facial; and scalp skin | Initial irritation causes atypical trigeminal neuralgia |
| VII | Facial | Facial expression | Taste: anterior ⅔ tongue | Tear glands; salivary glands |
| VIII | Acoustic | Hearing | ||
| VIII | Vestibular | Balance | ||
| IX | Glossopharnygeal | Palate, swallowing | Taste: back of tongue: palate | Severe difficulty in swallowing and speaking with inhalation because of an incompetent larynx |
| X | Vagus | Swallowing and speech | Palate, throat | With above |
| XI | Accessory | Sternomastoid and Trapezius | In paralysis the shoulder drops and the arm cannot be lifted properly | |
| XII | Hypoglossal | Motor supply to the same side of the tongue | In paralysis the tongue deviates to the same side |
Figure 1: Diagram of left Cerebello Pontine Angle and its contents.

The acoustic and vestibular nerve bundle runs across the middle of the CPA from the inner ear to the brainstem. It arises from the sensory epithelium of the cochlea and vestibular labyrinth. There is one acoustic nerve bundle but three vestibular nerve branches – superior, inferior and singular – which join and then fuse with the acoustic nerve close to the brainstem. The facial nerve runs out from the brainstem a little ahead of the acoustic and vestibular but all the nerves run through the internal auditory meatus or canal (IAM or IAC) in the petrous temporal bone. (Figure 2) The facial nerve takes a complex path through the bone turning first forwards at the geniculate ganglion, then backwards across the middle ear, then downwards through the mastoid bone and finally forwards again through the parotid gland on its way to the muscles of facial expression. (See chapter 8)
Figure 2: Diagram of the right petrous bone and the IAM as seen from above


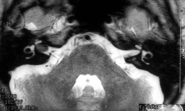
Figure 3a: Axial MRI scan of a normal IAM with a “cut” through the cochlea and showing the cochlear nerve to the left and the inferior vestibular nerve to the right

Figure 3b Axial MRI scan of a normal IAM with a “cut” through the lateral semicircular canal and showing the facial nerve to the left and the superior vestibular nerve to the right

Growths in the CPA
With the diversity of structures in the CPA, it is not surprising that many different tumours can grow there. Fortunately, most of them are benign and by far the most common is the doubly misnamed acoustic neuroma. Not only do these usually develop on the superior vestibular nerve, but they are tumours of the nerve sheath cells – the Schwann cells – which make the myelin sheets that insulate the nerve fibres. Thus they should correctly be called Vestibular Schwannomas and any web search should include this term or the term neurilemmomas, which is also sometimes used by purists and pedants. They seem to arise from a single defect on the long arm of chromosome 22 which is why they rarely, if ever, become malignant although with continued growth they can be fatal.
The incidence of acoustic neuromas has usually been quoted as 1 in 100,000 per year. With improved imaging and a greater awareness of the condition, the incidence seems to be increasing slightly. However, the post-mortem prevalence appears much higher which suggests that many people go to their graves with these tumours rather than because of them. (see below under diagnosis).
The next most common growth is a meningioma which arises from the meninges of the inner surface of the skull in this region. They are generally slow growing and of low grade malignancy. The other lesions that can occasionally be found in the CPA are listed in Box 2
Box 2: Lesions in the CPA and their frequency of occurrence
| Type | Percentage | |
| Acoustic Neuromas | 75 at least | |
| Meningiomas | 6 | |
| Cholesteatomas | 6 | |
| Gliomas | 3 | |
| Others | 10 at most | |
| Metastatic tumours | ||
| Osteomas | ||
| Osteogenic sarcomas | ||
| Neuromas of V, VII or IX | ||
| Angiomas | ||
| Papillomas of choroids plexus | ||
| Teratomas | ||
| Lipomas |
A particularly unpleasant manifestation of the acoustic neuroma is as a part of the syndrome called NeuroFibromatosis type 2 (NF2). This is an autosomal dominant condition classically presenting in youth with bilateral acoustic neuromas, other neuromas especially spinal, meningiomas and even gliomas. Fortunately this condition is rare with an estimated annual incidence of 1 in 2,355,000.
The Natural History of Acoustic Neuromas.
Some years ago, it was thought that all acoustic neuromas grew relentlessly so that small tumours eventually became large tumours which would in turn start to compress the brainstem and cause clumsiness (ataxia) due to cerebellar malfunction. As the brainstem was further compressed, CSF circulation was compromised and raised intra cranial pressure developed (for symptoms – see below) before inevitable death. This process explained the need for surgical intervention in nearly all cases, despite the risks.
However, it has become clear from long term observational studies of acoustic neuromas, that perhaps 50% or more do not grow over a ten year period. Like many benign lesions, acoustic neuromas have a “life span”. They start to grow and then grow at an erratic and very variable rate and eventually stop growing. The irregular growth may be because of a poor blood supply in the surrounding CSF or other intrinsic factors. Some tumours seem to continue to grow relentlessly and cause progressive symptoms, whereas others seem never to grow after diagnosis. It has recently been found that if small intracanalicular i.e. in the internal auditory canal, do not grow over five years then they do not grow over a subsequent 20 year period. Unfortunately, there do not at present seem to be any clues as to which neuromas will grow and which have finished growing. Of those that do grow, the rate is variable but often quoted figures are of one to two millimetres in diameter per year.
The Symptoms and Signs of Acoustic Neuromas
Many individuals with acoustic neuromas may not have any symptoms at all. Of those that do present to doctors there seem to be two groups – those that present with relatively minor otological symptoms and those that present with major neurological problems secondary to brainstem compression or the involvement of the trigeminal nerve (V) or the lower cranial nerves (IX,X,XI). Involvement of the lower cranial nerves from other neuromas or other pathologies results in a different constellation of focal symptoms, but if compression of the brainstem and IVth ventricle occurs and raised intracranial pressure develops then a generalized set of symptoms develops.
The symptoms that cause referral to an ENT surgeon are outlined in Box 3 and to a neurologist or neurosurgeon in Boxes 4 and 5. The duration of the symptoms have no relationship to the size of the tumour. The important thing to do is to take unilateral symptoms seriously and investigate them.
Box 3: Typical presenting symptoms of an Acoustic Neuroma sent to ENT Surgeons.
| Symptom | Primary complaint | Secondary complaint |
| Unilateral alterations in hearing (distortion, hearing loss,tinnitus) | 60 | 16 |
| Headache | 16 | 15 |
| Unsteadiness | 7 | 30 |
| Unilateral Fifth nerve symptoms | 7 | 15 |
| Unilateral earache | 4 | 4 |
| Vertigo | 3 | 3 |
| Unilateral sudden profound hearing loss | 2 | 1 |
The symptoms that may result in referral to a neurologist are shown in Box 4 and are the result of compression of nearby structures.
Box 4: Symptoms that can arise from compression of nearby structures.
| Symptom | Structure |
| Atypical trigeminal neuralgia | V |
| Tic Doloureux | V |
| Progressive painless facial weakness | VII |
| Hearing loss and tinnitus on non tumour side | Brainstem |
| Hoarse weak voice / dyspahagia | X |
| Dropped shoulder | XI |
If the tumour is large enough to block the flow of CSF then the generalised features of raised intracranial pressure (RICP) from an expanding space occupying lesion in the skull become apparent and referral to a neurosurgeon frequently occurs. The features are shown in Box 5
Box 5 Symptoms arising from raised intracranial pressure.
| Progressive symptoms in rising intracranial pressure |
| Clumsiness, poor balance |
| Headache |
| Vertigo |
| Vomiting |
| Fevers |
| Deterioration in mental state |
| Visual changes |
| Fits |
Diagnosis
Diagnosis relies on the history and examination with appropriate investigations. An ENT examination and pure tone audiogram along with an examination of the cranial nerves and cerebellar function will often suggest the possibility of a CPA mass. The next examination is an MRI scan. A T2 weighted fast spin echo (T2FSE) or turbo spin echo (T2TSE) protocol can be used to exclude or confirm a tumour whilst a Gadolinium enhanced T1 sequence will give more information about the nature of the lesion. Figures 4 and 5 show typical findings. Diffusion weighted imaging should now also be requested in the diagnostic work up as this sequence can positively distinguish cholesteatoma from other CPA tumours
Figure 4
Two axial MRI scans showing small intra canalicular acoustic neuromas of the right IAM. T2 weighted scan


Figure 5
Gadolinium enhanced T1 weighted MRI scan revealing small to medium sized Acoustic neuroma.


Management:
1. Large tumours with brainstem compression and incipient RICP.
There is little disagreement about these patients who need reduction of the intracranial pressure with some form of shunt and then removal or subtotal removal of the tumour. Whether there should be total removal or subtotal depends on factors outline below
Figure 6
T2 weighted spin echo MRI showing large right acoustic neuroma with significant brainstem compression


2. Small and medium sized tumours without major neurological symptoms
Given that many tumours do not grow at all and that, even if they do grow, the rate of growth is slow, many consensus groups suggest that the scans should be repeated after one year and only if there has been growth should treatment be suggested. This requires proper discussion with the patient and relatives so that an informed decision can be made.
There are three main forms of management:
i. Watch and Wait.
In the elderly with small, slowly growing tumours the life expectancy may be shorter than the time that it would take the tumour to cause threatening neurological problems. A continued program of monitoring by repeat MRI scans is sometimes recommended.
ii. Stereotactic radiotherapy.
Radiation kills tissues but a single beam directed at an acoustic neuroma is likely to kill everything in its path. Projecting multiple small beams of radiation from different directions that are focussed on the tumour reduces the damage to surrounding tissues whilst maximizing the dose in the tumour. This is called stereotactic radiotherapy (SRT). The total dose to be given is calculated from the tumour volume and then given in divided doses over three or four weeks. This is called Fractionated SRT and use X-rays.. Alternatively the dose can be given in a single session. Gamma rays are usually used and the procedure is misleadingly called Gamma Knife treatment and the technique Radio-Surgery. This is misleading because the tumour is not removed – its growth is slowed or stopped. The treatment involves a cage being fitted to the skull by small pins to ensure accurate localization and no patient movement whilst the radiation is being administered over two or three different exposures within the single sitting. A more recent development is the Cyber Knife which uses X-rays but does not require a frame attached to the head and is much less claustrophobic. The risks and long term results of this new technique are not yet catalogued
The general risks of SRT are a: that it fails to work and the tumour continues to grow after which surgery is extremely difficult because of scarring, b: there is radiation induced damage to nearby structures – especially the facial nerve and brainstem and c: a long term risk of malignant change which may make it unadvisable in the young.
Despite these reservations and the fact that there is no tissue diagnosis SRT is a very valuable form of treatment and is being increasingly used, despite the medium and long term risks.
iii. Surgery.
The aim of surgery is complete removal of the tumour with no new neurological deficit. Unfortunately this is difficult to achieve with larger tumours and even with small ones there is risk. The main risk is damage to the facial nerve which is stretched around the capsule of the tumour. Even if the dissection is meticulous and the nerve is anatomically intact it sometimes fails to function. A facial paralysis is particularly distressing and anything more than minor damage (House grade 3 or more – see chapter 8) causes a major reduction in the quality of life. The risk of a facial paralysis increases with the size of the tumour. To reduce this risk many surgeons now undertake a subtotal removal of the tumour leaving a strip of capsule on the nerve to protect it. The patient then has serial scans to detect if there is growth of the remnant. If there is then further surgery or radiotherapy could be contemplated if the mass reaches a significant size. See Figures 7 and 8
Figure 7
Large right sided acoustic neuroma with some distortion of the fourth ventricle and displacement of the brainstem. Pre operative scan.


Figure 8
Same patient as in figure 7 one year following operation. There is a small area of residual neuroma/capsule on the VIIth nerve. Notice how the fourth ventricle has returned to a normal shape.

The surgical approaches are:
Transmastoid/Translabyrinthine. The IAM and CPA is approached through the mastoid and, in turn, by removing the bony inner ear. This minimizes traction on the brain but the hearing is lost
Retrosigmoid/Suboccipital. The craniotomy is made posterior to the sigmoid sinus and the cerebellum is retracted for access. The surgical view is as shown in Figure 1. With small tumours less then 1.5 cms, it may be possible to preserve the hearing. The IAC has to be opened by drilling to remove tumour within it
Middle Cranial Fossa approach. The craniotomy is made above the ear into the middle fossa and small intracanalicular tumours can be removed with hearing preservation. The temporal lobe has to be retracted for access. This approach is used less and less in Europe because of the risks of epilepsy and in the UK patients cannot drive for a year post operatively.
3 Neurofibromatosis Type 2
The management of this difficult condition needs a team approach with ENT surgeons, and neurosurgeons working alongside hearing therapists, genetic counsellors and a social support network to deal with the problems as they arise. The MRI scan below shows large bilateral acoustic neuromas. The tumour on the right side had been partly decompressed but there is now clear brain stem compression and the risk of hydrocephalus.
Figure 9
Gadolinium enhanced MRI scan showing bilateral acoustic neuromas. That on the right has been partly removed (elsewhere). The patient had other intra cranial and spinal tumours.


Summary.
It is clear that there is a complexity of presentations that an acoustic neuroma can produce and that the MRI scan can reveal involvement of structures before symptoms arise. The age range of patients is wide and their individual circumstances vary greatly. There are now many forms of treatment each with their upside and downside and deciding with the patient what is going to be “best” for them is not easy. There is another confounding factor exemplified by the expression: “If you only have a hammer, everything looks like a nail.” The judgement of a Neuro-Otologic surgeon may by quite different from that of a dedicated Radiotherapist, each being coloured by their own experience and skills and not necessarily evidence based. Until an algorithm can be constructed for a management pathway based on available evidence of a good level, then a multidisciplinary team (MDT) approach may be in the individual patient’s best interest despite the inherent difficulties of an MDT.
References.
Clinical Effectiveness Guidelines – Acoustic Neuromas.
British Association of Otorhinolaryngologists
Document 5 Acoustic Neuromas
www.orl-baohns.org

